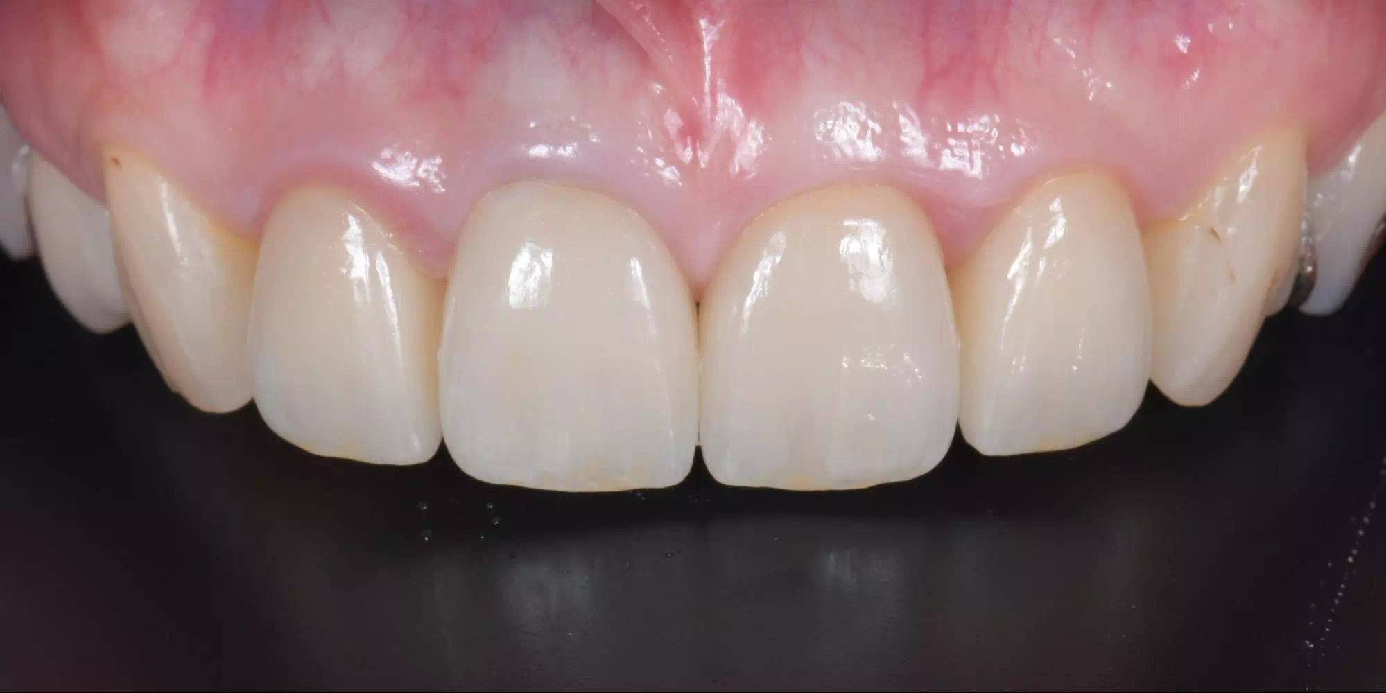
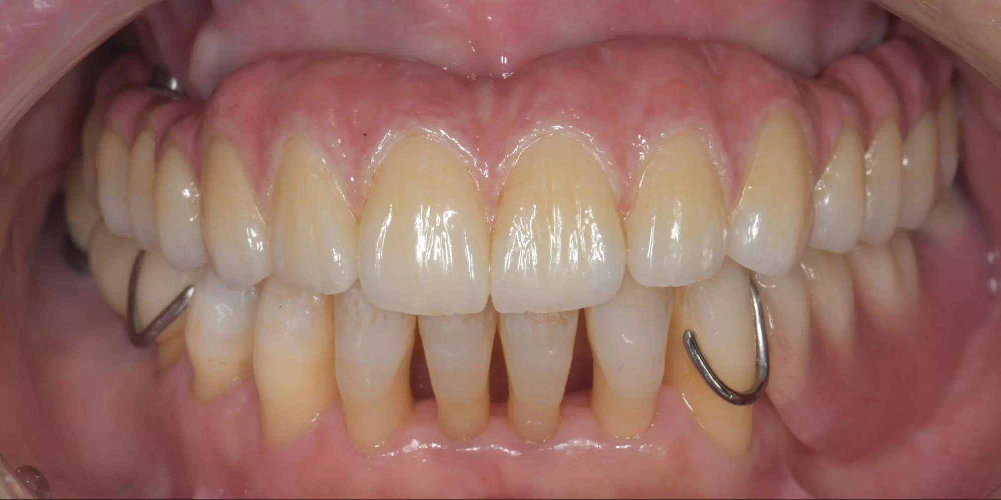
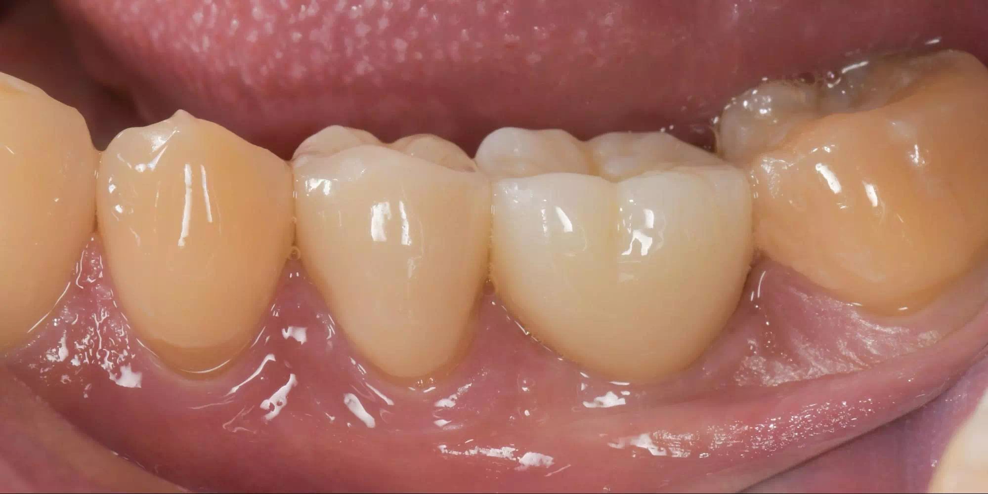
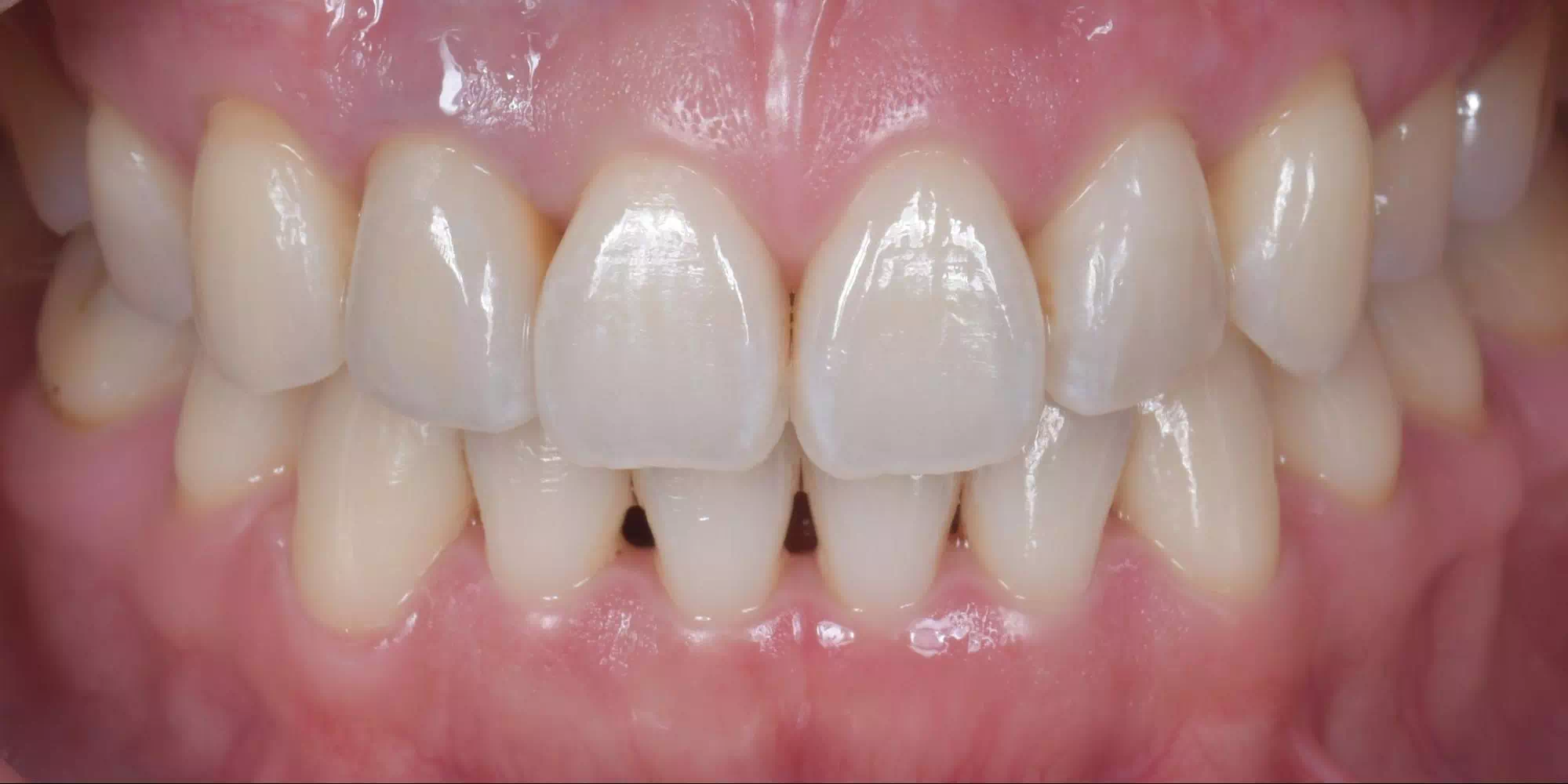
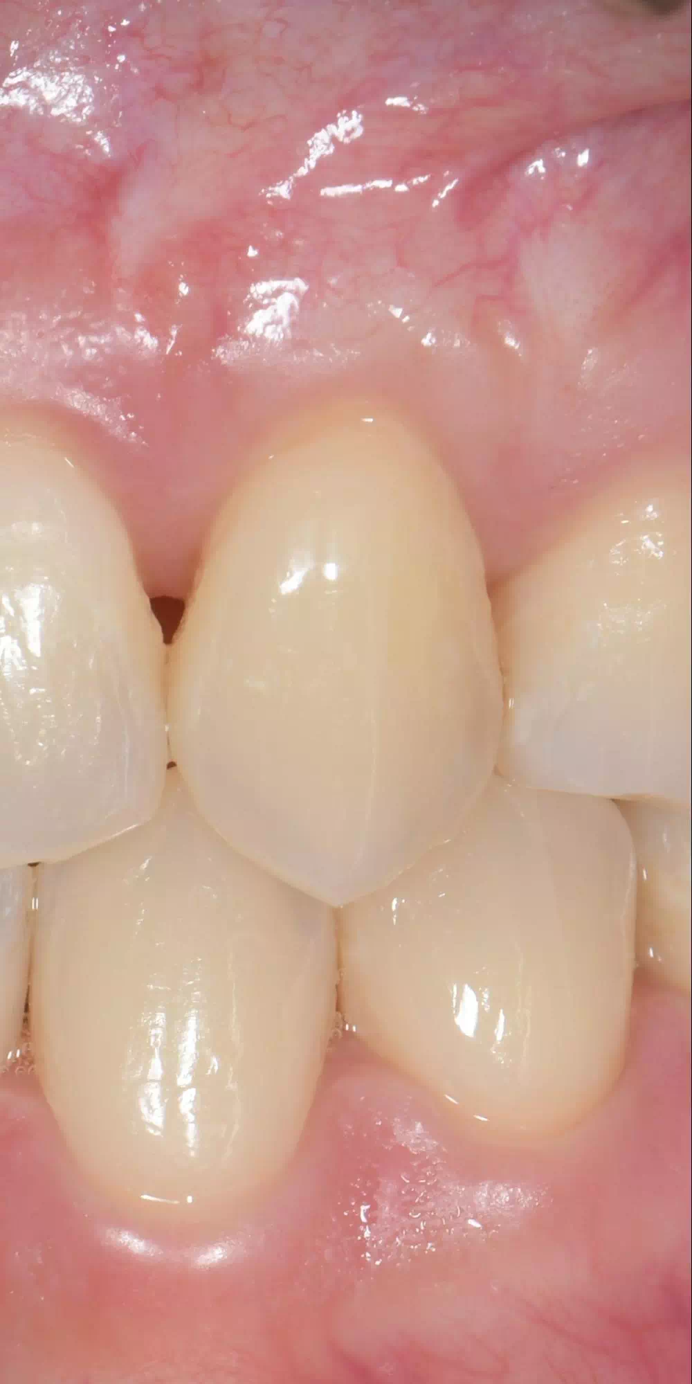
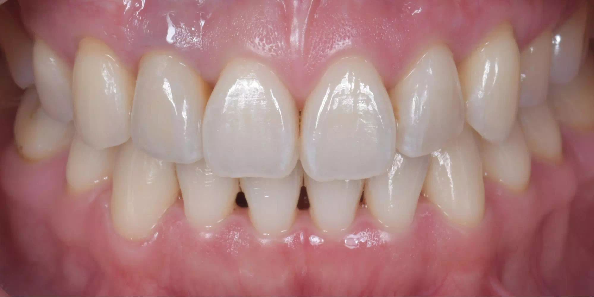
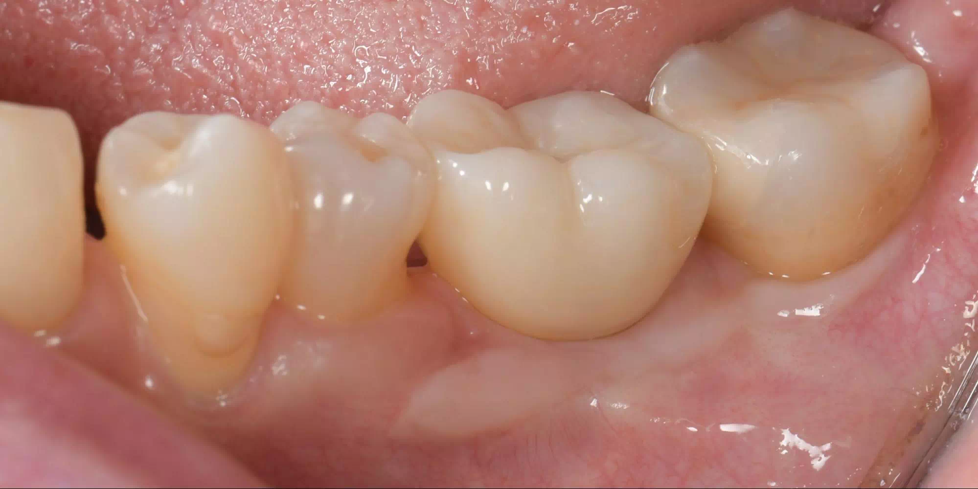
CASE HOME CASE 2025/10/21 抜歯即時埋入・即時荷重 症例 2025/10/21 GBR① 2025/10/21 インプラント 症例② 2025/10/21 インプラント 症例① 2025/10/21 矯正歯科 症例 2025/10/21 審美歯科 症例② 2025/10/21 審美歯科 症例① 2025/10/21 ガミースマイル 症例 2025/10/21 歯肉再生 症例② 2025/10/21 歯肉再生 症例① 2025/10/21 虫歯症例