BLOG
歯周病で骨が失われてインプラントが難しいと診断されたとき
2026/02/13
私たちの歯は、単に歯ぐきだけで支えられているわけではありません。歯を支えるのは、歯ぐきの下にある「歯槽骨(しそうこつ)」という骨です。歯周病はこの骨をじわじわと破壊していく病気であり、骨が減ることで将来の治療選択肢に大きな影響を与えることがあります。
特に近年、失った歯の治療法として選ばれることが多いインプラント治療は、この骨の量が適切であることが前提になります。ですが、歯周病により骨が大きく失われている場合、「インプラントができない」と診断されることもあります。ここでは、なぜそのようなことが起こるのか、骨が不足している場合にどう対応できるのか、そして当院でどのようなサポートができるのかを丁寧に解説します。


① 歯周病が骨を失わせるメカニズムとインプラントへの影響
▪️歯周病は骨を破壊する慢性炎症
歯周病は、歯の周りに付着した細菌が原因で始まる炎症性の病気です。初期は歯ぐきの腫れや出血ですが、進行すると歯を支える骨である歯槽骨が破壊されます。これは「骨が溶けている」というよりも、骨を作るバランスよりも破壊するバランスが勝ってしまう状態です。
この骨の破壊が進むと、歯の支持が弱くなり最終的には歯を失うことになります。
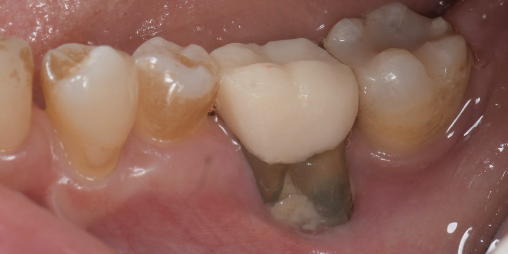
▪️インプラント治療では骨の高さ・幅が必要
インプラントはチタン製の人工歯根をあごの骨の中に埋め込む治療です。骨が不足していると、
- インプラントが十分に骨で覆われない
- 骨にしっかり固定されない可能性がある
- 将来的なトラブルリスクが高まる
といった理由から、安全に治療を行うことが困難になります。これは単なる理論ではなく、多くの臨床研究でも、重度の歯周病患者はインプラントの周囲の骨やインプラントの維持にリスクがあることが示されています。例えば、歯周病がある患者ではインプラントを失うリスクが約1.9倍、さらに周囲の骨が減少しやすいという報告があります。
② 歯周病が進行した骨欠損があるとどうなるか
▪️骨が足りないと即インプラントができない
歯周病などで骨が大きく失われている場合、そのままインプラントを埋め込んでも骨の支持が不十分なため、安定性が得られません。また、骨が薄いとインプラント周囲の炎症(インプラント周囲炎)や長期的な骨の減少が起こりやすくなることも指摘されています。
さらに、骨が失われた場所に抜歯後長期間放置されたソケット(骨が陥没した状態)では、インプラントを埋め込む際により多くの骨再生が必要になるという報告もあります。歯周病由来の骨欠損部位では、健全な抜歯窩と比べて骨造成が必要になる確率が高くなるとされています。
③ では「インプラントは無理なのか?」 ― 骨造成という選択
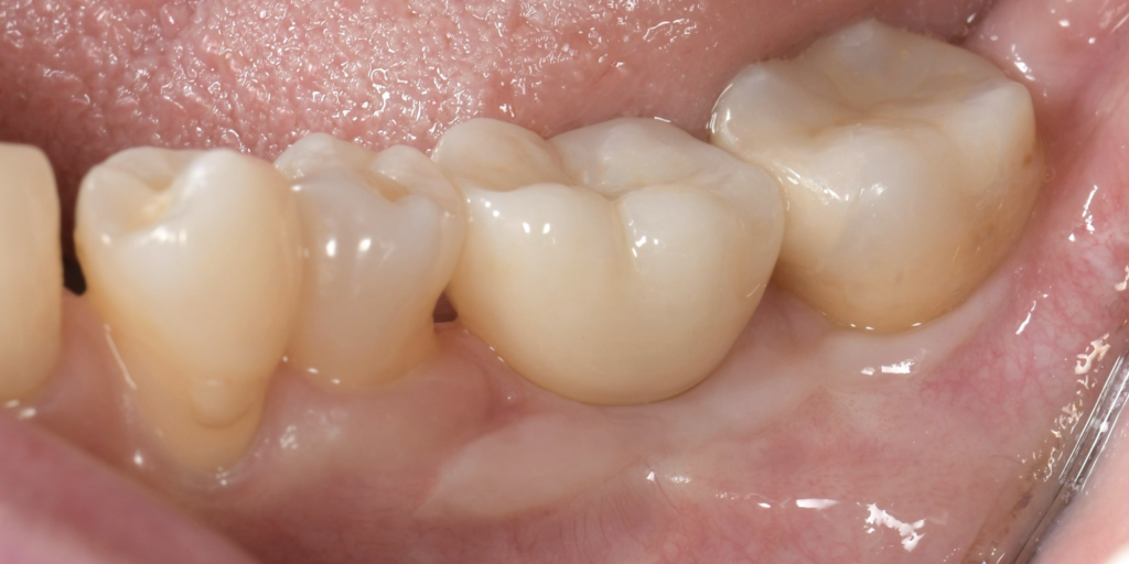
▪️骨を再生する治療(GBR)
骨が不足していてインプラントが難しいと診断された場合でも、”骨を再生する治療(GBR:Guided Bone Regeneration/骨誘導再生法)”によって治療が可能になることがあります。GBRとは、失われた骨の部分に骨の材料(自家骨や骨補填材)を補填し、周囲の組織の侵入を防ぐ膜でおおうことで、骨組織が新しく再生されるよう促す治療です。
このような治療を行うことで、骨の幅や高さを増やし、インプラント治療に十分な基盤を作ることができます。骨が新しくできるまでには4〜6か月程度の治癒期間が必要とされますが、このような再生処置によりインプラントが可能になるケースは多数あります。
▪️同時埋入と段階的埋入
GBRには、インプラントと同時に行う方法と、骨を再生してから後でインプラントを埋入する方法があります。どちらの方法が適切かは骨の状態や治療計画によって異なりますが、適切な治療計画を立てることで安全性の高い治療が可能です。
④ 当院の取り組み ― 歯周病専門医の視点で治療を設計する
歯周病による骨欠損があると、単にインプラントを埋めたいというだけでは不十分です。まずは歯周病そのものをしっかり管理し、炎症がコントロールされている状態を作る必要があります。
LUSIA DENTAL CLINIC では、歯周病専門医が在籍しており、次のようなステップで治療を進めます。
- 精密な診査と診断
歯周ポケットの状態、骨の量や形を歯科用CTで精密に評価し、総合的な治療計画を立てます。 - 歯周病治療による炎症のコントロール
歯周病が進行している場合、まずは炎症を抑える治療を徹底的に行います。これにより、骨の破壊の進行を止め、口腔内環境を安定させます。 - 骨の再生治療(GBR含む)
骨量が不足している場合、GBRなどの骨造成治療を適切に組み合わせることで、インプラントが可能な状態に導きます。 - 継続的なメンテナンス
インプラント治療後も、専門的なメンテナンスによって健康な歯周環境を維持し、長期的な予後を高めていきます。
⑤ 最後に ― 重要なのは「土台づくり」と「継続的なサポート」
歯周病が進行して骨が失われているという状態は、決してインプラントをあきらめる理由ではありません。大切なのは、炎症を抑えて骨の環境を整え、必要に応じて骨造成治療を検討することです。これにより、患者さん一人ひとりに合わせた最適な治療が可能になります。
そしてその成功率を高めるためには、治療前の診査・診断、適切な治療計画、術後のメンテナンス体制が欠かせません。これは単発の処置ではなく、継続的な健康づくりです。
LUSIA DENTAL CLINICは、行田市で歯周病とインプラント治療に精通した専門チームとして、患者さんの「しっかり噛める未来」を一緒に作っていきたいと考えています。どうぞお気軽にご相談ください。